Детская стоматология Евромед Дентал
Санкт-Петербург
1-я Никитинская, 30
м. Пионерская
ежедневно с 09 до 21
до
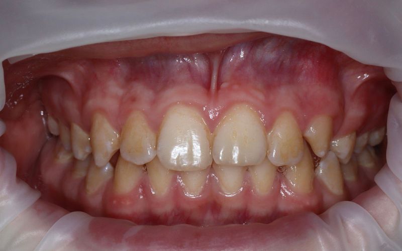
после

Победили зубной налет на зубах

Пациентке 7 лет. Со слов мамы девочка не справляется с индивидуальной гигиеной полости рта. При осмотре было обнаружено большое количество налёта на зубах, который был визуализирован путём окрашивания.

Мы провели профессиональную гигиену полости рта аппаратом Prophyflex и укрепление всех зубов фторирующим гелем с вишнёвым вкусом.

По окончании процедуры мы обсудили домашнюю гигиену, подобрали необходимые щётки и пасты и отработали технику чистки.