Детская стоматология Евромед Дентал
Санкт-Петербург
1-я Никитинская, 30
м. Пионерская
ежедневно с 09 до 21
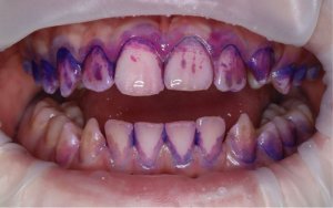
до
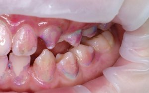
после
Процесс
Процесс

Профессиональная гигиена полости рта для подростка

Как оптимизировать гигиену у подростка?

Только визуализировав имеющуюся проблему и указав на те поверхности зубов, где требуется особое внимание.
При проведении гигиены у подростков важно показать, что и где нужно чистить особо тщательно. В этом помогают такие инструменты как индикация зубного налета и
фотопротокол этапов проведения профессиональной гигиены, благодаря которым вместе с пациентом мы видим динамику и результат совместного труда на благо здоровой улыбки.

Узнать какие средства индикации зубного налета подходят именно Вашему подростку, обучить его качественной индивидуальной гигиене полости рта в домашних условиях и подобрать оптимальный набор средств для эффективной очистки зубов и профилактики кариеса и кровоточивости десен помогут детские и подростковые стоматологи Евромед Дентал .